
Tongue tie release is a simple, effective procedure that frees restricted tongue movement in patients of all ages. At Cozy T Dental in Seremban, we provide gentle, laser-assisted frenectomy treatments that improve everything from breastfeeding and speech to sleep and jaw health all with minimal discomfort and fast recovery.
A tongue tie (ankyloglossia) occurs when the lingual frenulum — the band of tissue beneath the tongue — is too short or tight, restricting the tongue’s range of motion. This condition can interfere with:
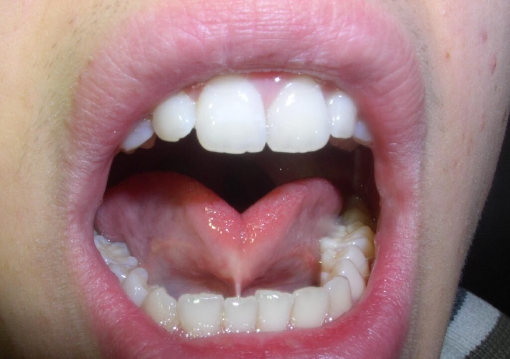
Tongue ties vary in severity. Some are easy to spot (anterior), while others are hidden beneath the tissue (posterior). Regardless of age or visibility, a tongue tie that affects function should be assessed and treated early.

Tongue tie often runs in families. If a parent had it, chances are their child might too. It’s a congenital condition present at birth.

Tongue tie often runs in families. If a parent had it, chances are their child might too. It’s a congenital condition present at birth.

Some tongue ties are easy to spot (anterior), while others are hidden behind the tongue (posterior tongue tie). Both can interfere with oral function.

Although commonly diagnosed in infants, untreated tongue tie can lead to issues in childhood or even adulthood — from speech and sleep problems to jaw development.
We assess tongue tie using both clinical evaluation and Kotlow’s classification, which measures how restricted the tongue is:
| Class | Severity | Frenulum Length |
|---|---|---|
| I | Mild | 12–16 mm |
| II | Moderate | 8–11 mm |
| III | Severe | 3–7 mm |
| IV | Complete | Less than 3 mm |
Anterior ties are more visible near the tongue tip, while posterior ties are deeper and often missed without experience.
A tongue tie release, also called a frenotomy or frenuloplasty (depending on the method used), is a quick and effective procedure that involves cutting or releasing the tight frenulum under the tongue. This allows for better movement and function of the tongue — especially crucial for babies struggling to latch or adults experiencing speech issues.
There are two main approaches:
For newborns, the procedure causes minimal discomfort. Older children or adults may experience mild soreness afterward, but it’s usually manageable with over-the-counter pain relief.
Myofunctional therapy is a specialised set of exercises that target the muscles of the mouth, face, and tongue. It’s often used alongside tongue tie release surgery — especially for older children and adults — to retrain the tongue for proper function.
After the release procedure, some patients may still have patterns of restricted tongue movement. Myofunctional therapy helps by:
Reducing tension in the jaw and facial muscles
While babies typically don’t need it, older children and adults benefit most. If your child has had a tongue tie for years, the muscles may have adapted in ways that limit full recovery. Myofunctional therapy helps reprogram those habits for long-term success.
A restricted tongue affects more than just speech or feeding — it also impacts the way the jaw, airway, and face develop. Early intervention helps prevent issues like:
By allowing the tongue to rest and function naturally, early release can reduce future needs for:
Tongue tie may contribute to poor tongue posture during sleep, potentially affecting breathing. Treating it early helps support healthier sleep patterns, especially in growing children.
In infants, the procedure is quick and causes minimal discomfort. For older children and adults, local anesthesia ensures comfort during the process.
The tissue won’t grow back, but improper aftercare can lead to reattachment. Following post-op exercises can help prevent this.
Many babies show improvement right away, but some may need a few days or lactation support to adjust.
As with any procedure, there’s a small risk of bleeding or infection, but these are rare. Choosing an experienced provider minimizes these risks.
Whether you’re a new parent or an adult who’s just now discovering you may have a tongue tie, getting it evaluated is the first step toward better oral health and overall comfort.
At Cozy T Dental Seremban, we take a gentle, personalised approach to tongue tie release from accurate diagnosis to precise treatment and holistic aftercare.
Book your consultation today and let our team guide you or your child toward easier feeding, clearer speech, and improved oral wellness.
445-447, Jalan Cempaka, Taman Senawang Jaya, 70450 Seremban
018-778 4940
Table of Contents
Toggle