
Oral and maxillofacial surgery (OMFS) is a specialized branch of dentistry that focuses on surgical treatments of the mouth, jaw, and facial structures. It covers everything from simple extractions to more complex procedures like gum surgery, jaw correction, and bone grafting.
At Cozy T Dental Seremban, we offer a wide range of oral surgery services designed for patients who need more than just regular dental care. Whether it’s removing a problematic wisdom tooth or preparing your jaw for dental implants, our clinic is equipped with the tools and expertise to help you recover with confidence.
Oral and maxillofacial surgery may be necessary when your condition involves more than just the teeth, particularly the jaw, facial structure, or surrounding soft tissues. Some common situations where this surgery might be recommended include:






This type of surgery is often the bridge between general dental care and more advanced solutions, especially when structural or functional correction is involved.
Oral and maxillofacial surgery covers a wide spectrum of procedures that go beyond simple tooth extractions. At Cozy T Dental Seremban, we offer a range of oral surgery services tailored to meet your specific dental and facial health needs.

Wisdom teeth, or third molars, often emerge misaligned or impacted, causing pain or infection. Surgical extraction may be necessary to prevent crowding.

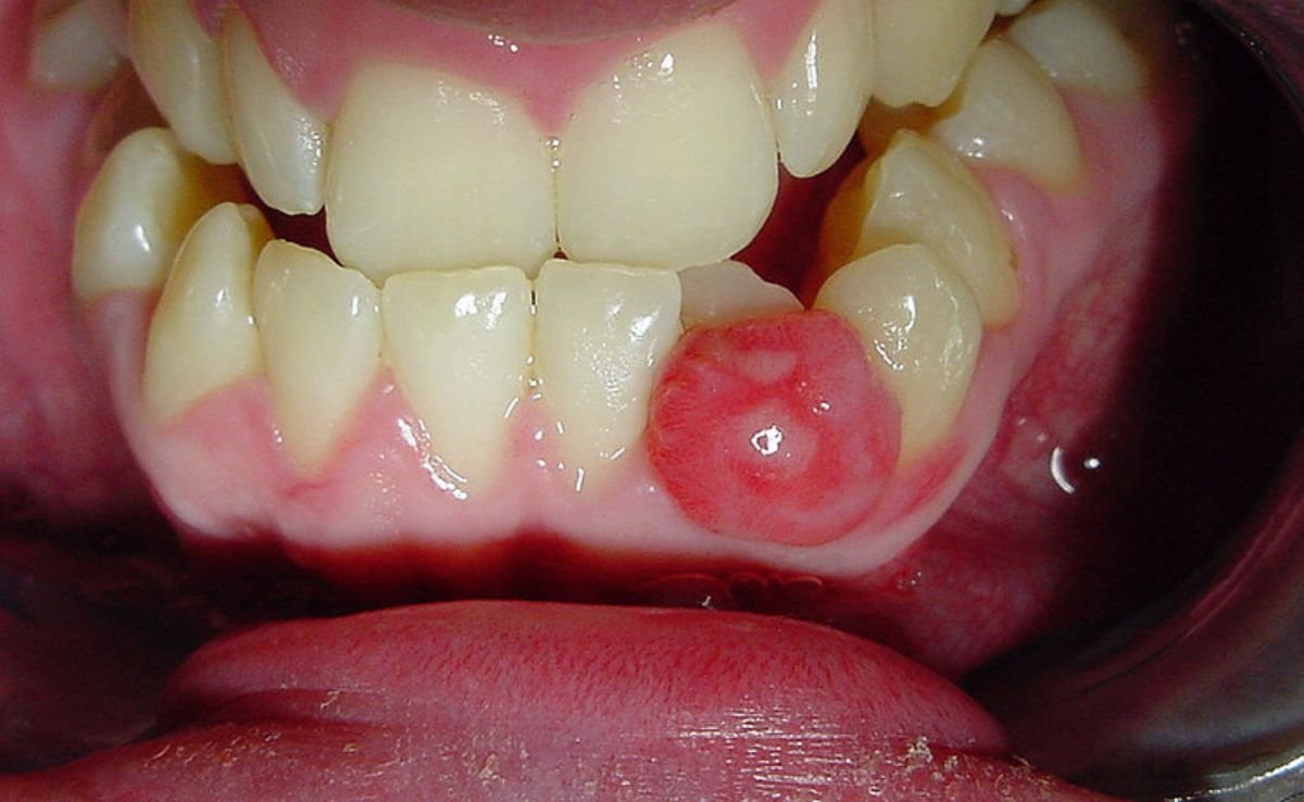
When a tooth is too damaged from decay or trauma to be saved, extraction becomes necessary. We offer both simple and surgical extractions, depending on the position and condition of the tooth.

Missing teeth can affect both your confidence and jaw health. Dental implants involve a surgical post placed into the jawbone, acting as a root for a replacement crown.

The process starts with undergoing digital imaging such as X-rays or CBCT scans, which help evaluate the condition of your teeth, jawbone, and soft tissues. The surgeon then creates a personalised treatment plan, explains the procedure, and addresses any concerns or risks.

Before surgery begins, anesthesia is administered to ensure your comfort. This may be local for minor procedures, or IV sedation or general anesthesia for more complex operations.

Recovery varies depending on the type of surgery. Most patients experience some swelling, discomfort, and bleeding during the initial days. You’ll be given medications and instructions to help manage this and prevent infection.
Recovery from oral and maxillofacial surgery is gradual and depends heavily on the complexity of the procedure. While some treatments like simple extractions may only take a few days to heal, others, such as jaw surgery or bone grafts, can require weeks of structured recovery.
In the first few days after surgery, it’s normal to experience swelling, mild bleeding, and discomfort. Pain is typically manageable with prescribed or over-the-counter medications.
By the end of the first week, swelling usually subsides, and soft tissue begins to heal. If sutures were placed, they may either dissolve or be removed during your follow-up visit.
Most patients see significant healing by this point. Bone grafts, however, may still be stabilizing beneath the surface. It’s important to continue following your surgeon’s aftercare instructions.
For complex procedures like dental implants or jaw surgery, healing may take several months. During this time, your dentist will monitor progress to ensure the bone and surrounding tissues adapt properly.
Our dentists have performed hundreds of oral surgeries. With precision and a proven track record, we deliver safe outcomes you can trust.
We use modern surgical tools and CBCT imaging for cleaner incisions, less trauma to surrounding tissues, and shorter recovery times.
From calm waiting areas to compassionate chairside care, our clinics are designed for your peace of mind.
In rare cases, prolonged mouth opening or jaw manipulation during oral surgery can contribute to TMJ (temporomandibular joint) discomfort, especially if you have a pre-existing condition. However, skilled oral surgeons use careful techniques to minimize stress on the jaw joint. If you notice clicking, pain, or jaw stiffness after surgery, let your dentist know immediately.
Stick to soft, easy-to-chew foods for the first few days. Avoid anything hard, crunchy, hot, or spicy. As healing progresses, you can gradually reintroduce more solid foods. Always chew on the opposite side of the surgical site if possible, and stay hydrated.
Mild discomfort and swelling are common for 2–3 days post-surgery, with noticeable improvement by the end of the first week. Full recovery depends on the type of surgery: simple procedures heal faster, while more complex ones, like jaw surgery, may take several weeks. Most patients feel “back to normal” within 7–10 days for minor oral surgeries.
Yes, certain maxillofacial procedures, such as jaw advancement surgery (orthognathic surgery), can improve or resolve obstructive sleep apnea by widening the airway. This is typically considered when other non-surgical treatments like CPAP fail. Your oral surgeon will evaluate your condition and refer you for a sleep study if necessary.
It’s best to rest for at least 24–48 hours after the procedure. Avoid strenuous activity, heavy lifting, or bending over during this time, as it may increase bleeding or slow healing. Most people return to work or school within a few days, depending on the procedure and how they feel.
Don’t wait until discomfort becomes urgent. Our oral surgery services are designed to restore function and ease, using a caring approach and modern techniques. Schedule your appointment now and take charge of your oral health.
445-447, Jalan Cempaka, Taman Senawang Jaya, 70450 Seremban
018-778 4940
Table of Contents
Toggle