
Tooth decay is a common oral health concern that can affect people of all ages. Cavities, the result of tooth decay, can cause discomfort, pain, and even tooth loss if left untreated. Fortunately, modern dentistry offers effective solutions like tooth fillings to restore damaged teeth and prevent further complications.
Here at Cozy T Dental Center, located conveniently in Seremban, we are committed to providing our patients with exceptional dental care, including comprehensive treatment for cavities and tooth fillings. This guide aims to empower Seremban residents with knowledge about tooth fillings and cavity prevention.
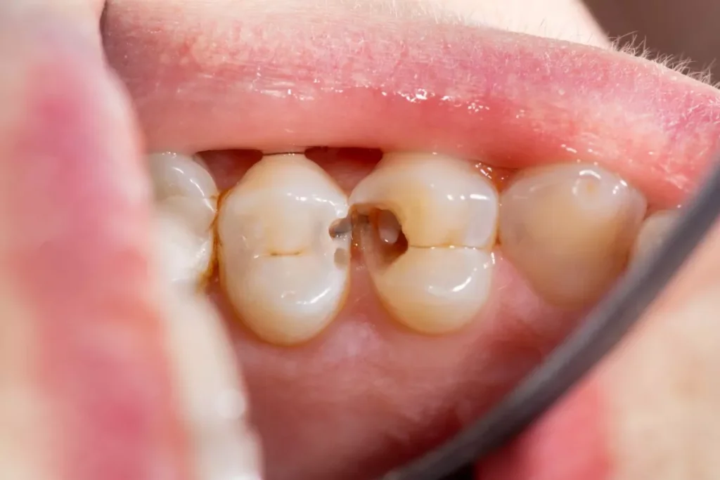
Cavities are permanent holes or openings that develop in the hard surface of your teeth (enamel) due to plaque buildup. Plaque is a sticky film containing bacteria that feeds on sugars and starches in your food. As these bacteria multiply, they produce acids that erode tooth enamel, leading to cavities.
Several factors can increase your risk of developing cavities:
Cavities develop in stages:
Symptoms of cavities can vary depending on the stage. You might experience toothache, sensitivity to hot or cold, pain when chewing, visible holes in teeth, or staining around the tooth.
Tooth fillings are a common dental treatment used to restore teeth damaged by cavities. They essentially plug the hole created by the cavity, preventing further decay and protecting the underlying tooth structure.
Several types of tooth fillings are available in Malaysia, each with its own advantages and disadvantages:
The tooth filling price in Malaysia can vary depending on several factors, including:
While this guide provides a general range, an exact tooth filling cost estimate can be determined during a consultation with your dentist at Cozy T Dental Center.
Temporary fillings, also known as temporary crowns, are used in various situations:
Temporary fillings are typically made from acrylic or composite resin. They are not as strong as permanent fillings and are meant to last for a short period, usually a few weeks to a few months. The cost of temporary fillings in Malaysia also varies depending on the material used and the dentist’s fees.

Cavities are more likely to develop between teeth due to several reasons:
Detecting and treating cavities between teeth can be more challenging due to their location. Regular dental checkups and X-rays are crucial for early detection of cavities.

Cavities on front teeth can be a source of significant aesthetic concern, affecting your smile’s appearance and confidence. Fortunately, there are treatment options available that address both the functionality and aesthetics of the tooth.
The choice of filling material for cavities on front teeth often prioritises aesthetics to ensure a natural-looking restoration. Here’s how different filling materials compare:
Maintaining good oral hygiene is the cornerstone of preventing tooth decay and cavities. Here are some essential practices:
At Cozy T Dental Center in Seremban, we understand the importance of maintaining optimal oral health and a beautiful smile. Our team of experienced dentists utilises advanced technology and techniques to provide comprehensive cavity treatment and tooth fillings. We offer various filling materials to suit your individual needs and preferences.
We prioritise patient comfort and ensure a gentle and relaxing experience during your dental procedures. Whether you require treatment for cavities or preventive care, Cozy T Dental Center is committed to helping you achieve and maintain a healthy smile for years to come.
Schedule an Appointment Today!
Don’t wait until a cavity causes pain or discomfort to address your dental health. Taking a proactive approach through preventive care and early treatment can save you time, money, and potential complications in the future.
Schedule a consultation with our friendly team at Cozy T Dental Center today. We are happy to discuss your dental health concerns and create a personalised treatment plan to keep your smile healthy and beautiful.
445-447, Jalan Cempaka, Taman Senawang Jaya, 70450 Seremban
018-778 4940
Table of Contents
Toggle